先进技术,展现优质图像
· 智能斑点噪声抑制成像iClear
智能图像优化处理技术,有效抑制二维图像的斑点噪声,增强图像对比分辨率,
使 组织边界显示更清晰、回声更细腻。
· 智能空间复合成像iBeam
多角度偏转图像复合,得到更佳的对比分辨率、更多的组织结构信息;
减少声影, 减少斑点噪声,使图像更加清晰。
· 宽带频移谐波成像PSHI
获取更纯净的谐波和更高的谐波采样率,得到更好的分辨率、更少的噪音。
智能诊断,满足全面临床需求
· 解剖M型Free Xros M
解剖M型能从任意角度进行扫描取样,对不同节段的心肌运动速度、
舒张-收缩时的心肌厚度变化进行细致的定量分析。
· 容积成像3D/4D
支持多种成像模式全方位、多切面、立体观察病灶,为临床提供更多的诊断信息。
3D/4D快速切换、超声断层成像等快捷容积成像功能,令诊断
变得轻松自如。
· 实时弹性成像
基于迈瑞先进的技术,大大的减少用户对操作手法的依赖,
提升可重复性和临床实用性,增强医生诊断信心。
操作流畅,体验高效
· 智能一键图像自动优化iTouch
自动优化二维和多普勒图像,使医生专注于诊断
· 智能一键实时全屏放大iZoom
图像放大不失真,便于医生观察较小病灶进行快速诊断。
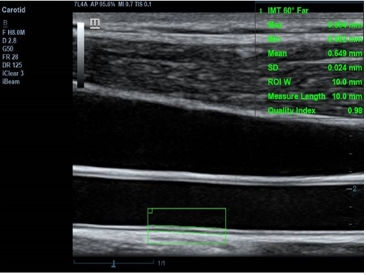
· 自动测量功能
内置丰富的自动测量功能,确保临床诊断的准确性和一致性,使操作便捷、快速。
· 超声教学软件iScanHelper
内置专业超声教学软件,随时随地享受专家级的超声指导。
多个检查切面可供选择
图文并茂,增强医生诊断信心
提高医生规范化操作和诊断
灵动设计,便捷舒适
优越影像







